Dental hygiene tips for healthy teeth & gums

Why the Name Sounds More Meaningful Than Medical
Most dental terms sound technical. Molars, enamel, incisors—they describe position or function. Wisdom teeth feel different. The name sounds almost philosophical.
That often leads people to wonder, “Why are they called wisdom teeth?” in the first place. The teeth themselves don’t make anyone wiser, yet the name has remained for centuries.
Many people first think about this in their late teens, usually when these teeth begin creating pressure or a strange kind of ache. Someone mentions wisdom teeth removal, and the question suddenly comes up. Why are they even called wisdom teeth? The answer has less to do with dentistry and more with timing and how adulthood used to be understood.
Most permanent teeth arrive during childhood. By early adolescence, nearly all adult teeth are already in place. Wisdom teeth follow a different sequence. They usually appear between the late teens and early twenties, long after the rest of the mouth has developed.
Historically, this age was associated with maturity. People believed individuals gained judgment and life experience during this stage of life. Because these molars erupted when a person was considered older and wiser, the connection formed naturally. That timing explains much of “why is it called the wisdom tooth” rather than simply a third molar. The name reflected age rather than anatomy.
Long before modern dentistry existed, people noticed that these final molars appeared during early adulthood. Ancient Greek and Roman writings referenced them as teeth linked to maturity. The philosopher Hippocrates reportedly described these molars as appearing when understanding developed. Over time, translations reinforced the association between age and wisdom.
Many languages adopted similar meanings. In Latin, they were called dentes sapientiae. Which literally meant “teeth of wisdom.” As the term passed through different cultures, its meaning stayed surprisingly steady. Even with modern science offering clearer explanations, the link still holds today. The name remained simply because it felt important enough to keep.
Understanding “why are they called wisdom teeth” naturally brings up another question. If they create crowding so often today, why do humans still have it? Food thousands of years ago was not soft or easy to chew. People relied on hard plants and uncooked meat, so stronger chewing was necessary, and larger jaws with additional molars helped handle that daily strain.
As cooking became more common over time, food slowly grew easier to chew. Human jaws began getting smaller across generations, while tooth development continued much the same as before. The teeth stayed, even though the space meant for them slowly disappeared.
Studies referenced by the National Institute of Dental and Craniofacial Research point toward dietary changes influencing the gradual shift seen in human jaw size. That mismatch between jaw size and tooth number explains why wisdom teeth frequently lack sufficient space today.
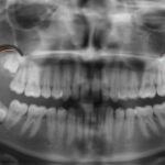
In earlier populations, wisdom teeth commonly erupted without difficulty. In modern mouths, space is often limited. This can cause these teeth to emerge sideways, remain beneath the gum line, or break through only partway. Ironically, teeth once associated with maturity now often require removal.
This shift doesn’t change “why is it called the wisdom tooth”, but it does explain why the experience surrounding it feels less symbolic and more clinical today. The name stayed even as circumstances changed.
Another interesting detail is that some people never develop wisdom teeth at all. Genetic variation means certain populations experience missing third molars more frequently. Evolution may still be gradually reducing its presence. For those who never develop them, the historical meaning remains more cultural than physical.
The absence of these teeth doesn’t suggest anything about maturity or intelligence. It simply reflects natural variation. The name, somehow, continues to spark curiosity.
People did not always understand wisdom teeth strictly through biology. Many cultures connected their appearance with maturity, independence, and the gradual shift into adulthood. That history continues to shape the curiosity people feel about any deeper or spiritual meaning of wisdom teeth.
Dentistry explains wisdom teeth in medical terms, though cultural beliefs continue alongside that view. Some people view their eruption as a sign of maturity rather than thinking of it only as a dental change.
The spiritual meaning of wisdom teeth is often discussed in symbolic rather than scientific terms. Some believe their emergence represents entering a stage of self-awareness or responsibility. Others associate removal with letting go of past habits or transitions in life.
There is no medical evidence supporting spiritual effects. Symbolism often forms around physical changes. In the same way, losing baby teeth reflects childhood development. Wisdom teeth gradually became connected with adulthood. The meaning exists because people assign significance to timing.
Modern dentistry refers to these teeth as third molars. Yet the traditional name remains far more common. Patients rarely say they are having third molars removed. They say wisdom teeth.
Language tends to preserve familiar ideas, especially when they carry cultural meaning. Even professionals often use the traditional term during conversations because it feels easier to understand.
The continued use reinforces curiosity about “why are they called wisdom teeth”, keeping the historical explanation alive. Sometimes tradition simply proves stronger than technical terminology.
Removal is not automatically required for wisdom teeth. Some grow in without causing trouble and function normally alongside other molars. Dentists usually take time to evaluate placement, gum health, and available room before recommending anything further.
The American Association of Oral and Maxillofacial Surgeons also refers to monitoring as part of routine care. Dentists often learn more simply by watching how these teeth behave over time.
So the decision rarely depends on the name. In practice, wisdom teeth are assessed much like any other tooth, with attention placed on comfort and function.
The continued interest in “why is it called the wisdom tooth” often goes beyond dentistry alone. People often become curious about terms that feel meaningful instead of strictly medical. Wisdom teeth remain one of the few medical names connected to life stages instead of physical structure.
The question brings together history, culture, and biology in a straightforward way. Even patients preparing for removal sometimes ask about the name before discussing recovery. This curiosity highlights how language plays a role in how health experiences are interpreted.
The name relates to the age they appear, not their function.
No. The term reflects historical ideas about maturity.
Some cultures associate them with adulthood or personal transition.
Not always. Many people function normally without them.
The meaning behind “why are they called wisdom teeth” is rooted more in history than dentistry. These final molars received their name because they tend to appear during early adulthood, a phase once linked with gaining wisdom and independence. While modern living has changed how these teeth function, the traditional name has remained.
Seen medically or symbolically, wisdom teeth reflect the connection between biology and human language. Learning “why it is called the wisdom tooth” adds a bit of context to something many people go through. If your wisdom teeth are bothering you or raising questions, a dentist can help you understand what to expect next.